We Provide The Best
Acne & Acne-Scar Treatments
Top Rated Clinic for Patient Results.

Effective Acne Scar Treatment

Acne scars may occur anywhere on your body, from your face, below the neck to your back and often around your legs. Acne Scar treatments such as Medifacials, Dermaroller and other highly effective procedures carry out the heavy-duty exfoliation of damaged skin and promote the growth of fresh and healthy collagen. Acne scar removal procedures at our skin clinic work to restore your skin to it’s flawless youthful self, promoting radiant, healthy skin for many years to come. There are different types of acne scars such as

  • Rolling scars (with gently sloping edges)
  • Box scars (with sharp edges)
  • Ice-pick scars (deep pits which appear like large open pores)

  • But that doesn’t call for brooding because a visit to Derma med spa would ensure you find the right treatment for it. We have a customized solution for your Acne Scars which is subsequent to an elaborate consultation and standardized assessment procedure.

    Frequently Asked Questions

    1.What is causing Acne Scar?

    After an acne breakout, your body will try to heal itself by replacing the lost skin tissue that has been destroyed. Scarring occurs when the body produces either too much or too little of this tissue. When the body creates too much tissue, the acne lesion becomes a raised scar – known as a hypertrophic scar (or, in severe cases, a keloid). On the other hand, a lack of tissue results in skin depressions – known as atrophic scars.

    Here are the different types of acne scars our expert dermatologists specialise in treating: Ice pick scars, Boxcar scars,Rolling scars, Macular Erythematous and pigmented scars, Hypertrophic scars/ Keloid scars.

    At Dermamedspa, we provide various treatments for removing scars caused by acne which include Laser treatment, Radiofrequency (RF) microneedling, Chemical peels, Subcision, Punch excision/grafting, MicroDermabrasion and Dermal Fillers. On your consultation, our Dermatologist will perform a skin analysis and discuss a treatment plan suiting your condition based on the type and extent of acne scarring you have and the amount of downtime after treatment you're willing to accept.

    This involves the use of laser energy to create tiny wounds in the skin, which lift the scars as they heal. Fractional C02 laser is effective for treating most kinds of atrophic acne scars and has a downtime of 5 - 10 days. Fractional Pico lasers are effective in treating both shallow and deep acne scars. This is a non-ablative skin laser resurfacing treatment that doesn’t damage the top layer of your skin (epidermis), resulting in shorter recovery time. Laser resurfacing treatment requires 2 to 3 sessions for the best results.

    TCA CROSS is an highly effective and hybrid chemical peeling technique. This involves using a toothpick or needle to place TCA solution into deep acne scars, one at a time. The TCA solution stimulates collagen production, which levels out deep acne scars. Ice pick scars respond very well to this method. One treatment generally improves the scar by 30 - 40%. The deeper and narrower the scar, the better the results. 2 to 3 sessions are usually required for the best results.

    Subcision is a simple and safe office surgery procedure for treatment of depressed acne scars. Fibroid strands under the skin which pull the skin down leading to scars are broken. Once the strands are broken the depression is lifted. Further, new collagen is produced which fills the scar with new tissues, making it less visible and giving you smoother skin. Optimum results may require 1 to 4 sessions.

    Radiofrequency(RF) micro-needling treatments use small needles to deliver heat energy to the skin. This stimulates collagen production and acne scar remodeling. RF micro-needling is ideal for rolling, atrophic, mixed, and tethered scars. Healing time is quicker than lasers - often within 48 hours. Furthermore, there's also a lower chance of hyperpigmentation. This is because RF Micro-Needling is non-ablative - it doesn’t damage the epidermis. Improvements are expected up to six months post-treatment. Three to five sessions are normally recommended.

    Punch excision involves using a tiny hole-punch like device to cut out the acne scar. The wound is then sutured close, with the stitch removed within a week. It's best suited for icepick scars that have a narrow opening but are deep. In punch grafting, after the scar is excised, a small piece of skin is taken from another site on the body (often from behind the ear). The piece of skin removed is then placed into the hole where the acne scar once was. Both sites are then sutured closed, or held in place with surgical tape and allowed to heal on its own.

    Acne Scars should be treated based on its type and severity to benefit best results. For example: Ice pick scars and narrow boxcar scars respond well to TCA CROSS; Rolling scars and craters can be effectively treated with fractional lasers and RF micro-needling; Punch grafting and dermal fillers are also good options; Tethered and anchored scars are best treated with subscision. There are cases where acne scars respond best to a combination of treatments too. So we highly recommend having a consultation with our doctors and getting an understanding of the best treatment options for you. Get in touch with our skin clinic to experience a single session of acne scar removal treatment to feel the difference.

    Most patients can expect an average improvement of 50 to 70% after treatment. For the majority of cases, patients see a 70 to 80% improvement in acne scars.

    Doctors at Dermamedspa specialise in treating acne scars not only on the face but other areas of the body, including the upper back, upper arms and chest.

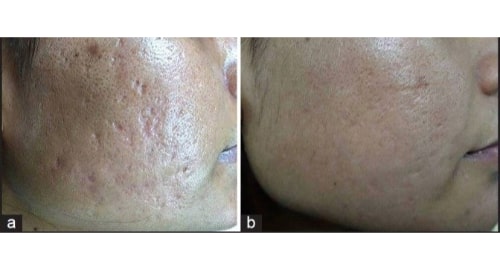
    Our Success Stories

    Before and After Gallery


    Get a Call Back



    Checkout What our Clients are Saying.


    General Services

    Non-Surgical Procedures

    Aesthetic plastic surgery can achieve impressive changes. We offer a wide variety of non-surgical procedures

    Skin Treatments

    Our Clinic is board certified in Skin Treatments with High Standards.

    Hair Treatments

    Our Surgeons can help you to get rid of unwanted hairs and also regrow hairs on specific areas.

    Body Procedures

    Body Procedures are dedicated to aesthetic and functional enhancement of your body

    Mommy Makeover

    The goal of a mommy makeover is to restore the shape and appearance of a woman's body after childbearing.

    Male Plastic Surgery

    Men of all ages and all walks of life are requesting plastic surgery for cosmetic reasons

    Non-Surgical Procedures

    Aesthetic plastic surgery can achieve impressive changes. We offer a wide variety of non-surgical procedures

    Body Procedures

    Body Procedures are dedicated to aesthetic and functional enhancement of your body

    Mommy Makeover

    The goal of a mommy makeover is to restore the shape and appearance of a woman's body after childbearing.

    See the difference

    Why Choose Us?

    Clinic figures

    What Have We Achieved